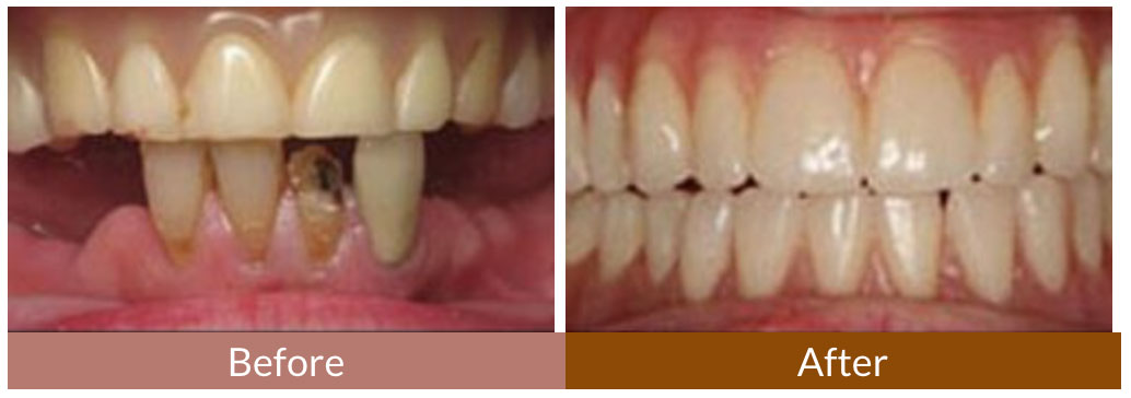
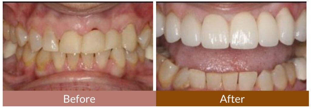
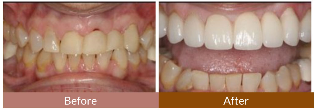
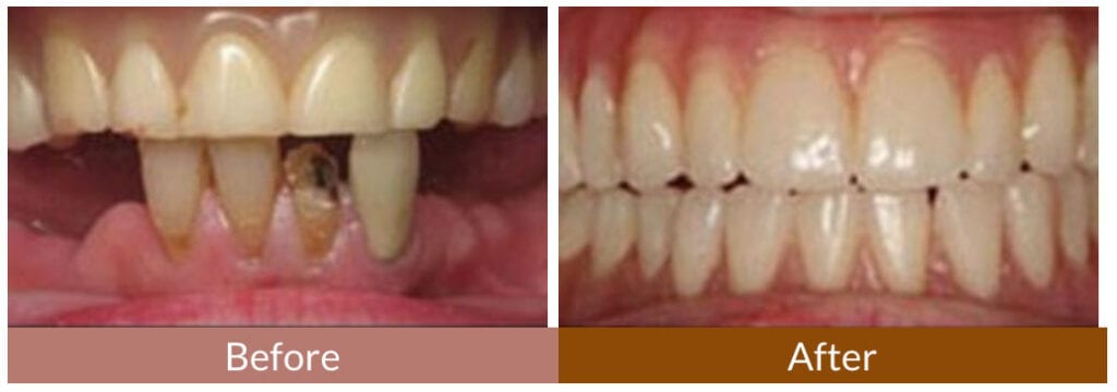
At Apple Street Dental, Our Patients Are All Smiles
Dr. Calvin Bessonet takes great pride in helping all of his patients regain smiles they can’t help but show off. In this gallery, you will find a collection of smiles from a number of our happy patients. This is why we do this job: to help people get and keep the smiles they have always wanted.
No matter your issue, Apple Street Dental is able to help you find the smile you’ve always dreamed of. Give us a call at 985-764-7066 to schedule your appointment today. You can also use the online contact form to get ahold of us. We can’t wait to find out how we can help you.

